Jon Hamilton
Stories
-
Jimmy Carter Surgery: 'No Complications' In Bid To Relieve Pressure On His Brain
Former President Jimmy Carter, 95, was admitted to Emory University Hospital on Monday evening for the procedure. He was accompanied by his wife, Rosalynn.
-
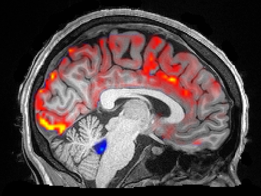
New Study Challenges The Assumption That Math Is Harder For Girls
Research shows that when boys and girls as old as 10 do math, their patterns of brain activity are indistinguishable. The finding is the latest challenge to the idea that math is harder for girls.
-
How Deep Sleep May Help The Brain Clear Alzheimer's Toxins
A study of 11 sleeping brains sheds some light on the mysterious link between sleep problems and Alzheimer's disease. The flow of cerebrospinal fluid through the brain appears to be the key.
-
U.S. Travel Ban Disrupts The World's Largest Brain Science Meeting
Scientists from nations including Iran, Mexico, and India were refused visas to attend this year's Society for Neuroscience meeting in Chicago. Some researchers got stand-ins to present their work.
-
Too Much Training Can Tax Athletes' Brains
Research finds that triathletes who train too hard can impair a brain area involved in achieving goals like winning a race. Fatigued athletes choose immediate gratification over long-term rewards.
-
Deadly Brain Cancers Act Like 'Vampires' By Hijacking Normal Cells To Grow
Researchers say certain brain cancers tap electrical signals from healthy cells to fuel their growth. The finding could lead to treatments for deadly tumors like the one that killed Sen. John McCain.
-
Subtle Differences In Brain Cells Hint at Why Many Drugs Help Mice But Not People
A detailed comparison of mouse and human brain tissue found differences that could help explain why mice aren't always a good model for human diseases.
-
A Genetic Test That Reveals Alzheimer's Risk Can Be Cathartic Or Distressing
Genetic tests can now tell us a lot about our risk for developing Alzheimer's disease. But that doesn't mean people are prepared to receive the information.
-
A Year After Spinal Surgery, A $94,000 Bill Feels Like A Backbreaker
A service called neuromonitoring can cut the risk of nerve damage during delicate surgery. But some patients are receiving large bills they didn't expect.
-
A Musical Brain May Help Us Understand Language And Appreciate Tchaikovsky
Compared with monkeys, humans have a brain that is extremely sensitive to a sound's pitch. And that may reflect our exposure to speech and music.